Белая точка в горле: Белые комочки в горле – повод для беспокойства?
Белая точка на гланде — Вопрос лору
Если вы не нашли нужной информации среди ответов на этот вопрос, или же ваша проблема немного отличается от представленной, попробуйте задать дополнительный вопрос врачу на этой же странице, если он будет по теме основного вопроса. Вы также можете задать новый вопрос, и через некоторое время наши врачи на него ответят. Это бесплатно. Также можете поискать нужную информацию в похожих вопросах на этой странице или через страницу поиска по сайту. Мы будем очень благодарны, если Вы порекомендуете нас своим друзьям в социальных сетях.Медпортал 03online.com осуществляет медконсультации в режиме переписки с врачами на сайте. Здесь вы получаете ответы от реальных практикующих специалистов в своей области. В настоящий момент на сайте можно получить консультацию по 73 направлениям: специалиста COVID-19, аллерголога, анестезиолога-реаниматолога, венеролога, гастроэнтеролога, гематолога, генетика, гепатолога, гериатра, гинеколога, гинеколога-эндокринолога, гомеопата, дерматолога, детского гастроэнтеролога, детского гинеколога, детского дерматолога, детского инфекциониста, детского кардиолога, детского лора, детского невролога, детского нефролога, детского офтальмолога, детского психолога, детского пульмонолога, детского ревматолога, детского уролога, детского хирурга, детского эндокринолога, дефектолога, диетолога, иммунолога, инфекциониста, кардиолога, клинического психолога, косметолога, липидолога, логопеда, лора, маммолога, медицинского юриста, нарколога, невропатолога, нейрохирурга, неонатолога, нефролога, нутрициолога, онколога, онкоуролога, ортопеда-травматолога, офтальмолога, паразитолога, педиатра, пластического хирурга, подолога, проктолога, психиатра, психолога, пульмонолога, ревматолога, рентгенолога, репродуктолога, сексолога-андролога, стоматолога, трихолога, уролога, фармацевта, физиотерапевта, фитотерапевта, флеболога, фтизиатра, хирурга, эндокринолога.
Мы отвечаем на 97.46% вопросов.
Оставайтесь с нами и будьте здоровы!
что это? Причины образования и лечение
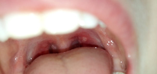
Нередко люди сталкиваются с тем, что у них образуются белые точки в горле. Подобное может наблюдаться как у взрослого, так и у ребенка.
Но причины подобного явления могут крыться в абсолютно различных заболеваниях от относительно безобидных до грозящих смертельной опасностью. Поэтому важно знать, когда обращение к врачу необходимо в кратчайшие сроки, а когда с этим можно повременить.
Белые точки на горле: что это такое?
Белые бляшки в горле в большинстве случаев представляют собой скопления отмерших клеток слизистой оболочки и бактерий, которые могут принадлежать к числу условно-патогенных и патогенных.Как правило, это стрептококки и стафилококки разных видов, постоянно находящиеся на слизистых оболочках ротовой и носовой полости и вызывающие воспаление только при снижении местного иммунитета, то есть при создании благоприятных для них условий.
Отложения могут иметь разную форму и величину. Они могут формироваться по бокам, то есть на миндалинах, и на стенках горла.
В таких случаях периодически люди могут замечать их отделение. Зачастую это происходит во время разговора, кашля или крика.
При этом могут отходить только небольшие кусочки бляшки или шарики целиком. Но они всегда имеют неприятный, отталкивающий запах.
В других ситуациях белое в горле является скоплением гнойных масс, которые покрывают слизистые характерным налетом или образуют пятна. Также иногда можно разглядеть особого рода хлопья и белые точки на задней стенке.
Практически всегда подобное сопровождается тем, что больно глотать, и лихорадкой. Нередко пациенты испытывают чувство присутствия инородного тела и жалуются на першение.
Высыпания особого рода, представляющие собой прыщики или пузырьки, способны покрывать как гланды, так и заднюю стенку горла. Они могут иметь разный размер и форму, но всегда наполнены прозрачным содержимым.
О чем говорит появление белых точек в горле: причины образования
Главной причиной того, что появились белые болячки, является активность микроорганизмов. В качестве таковых могут выступать бактерии, вирусы и грибки.
Именно на основании того, какой конкретно микроорганизм поразил слизистые оболочки и спровоцировал развитие воспалительного процесса, может диагностироваться одна из следующих патологий:
1 Тонзиллит. Острая форма этого заболевания называется ангиной.
Чаще всего она возникает у детей и проявляется сильными болями при глотании, наличием белого, трудно отделяемого налета на гландах, жаром. При этом обычно отсутствует насморк, что позволяет отличить ангину от ОРВИ.
У взрослых же чаще диагностируется хронический тонзиллит, который протекает вяло, без температуры, но при нем регулярно образовываются крупинки или тонзиллярные пробки в лакунах (углублениях) миндалин.
Иногда их можно рассмотреть невооруженным глазом, но чаще так называемые катышки скрыты в естественных углублениях гланд и выглядят, как мелкие желтые точки в горле.
2 Герпетическая ангина.
Это вирусное заболевание, причиной которого становится один из штаммов вируса герпеса. При ней образуются пупырышки, которые постепенно трансформируются в пузырьки на слизистых.
Также типична высокая температура, слабость, кашель, насморк, боли в мышцах, горле и расстройства пищеварения. При этом обычно герпетическая ангина наблюдается с июня по сентябрь.
3 Кандидоз.
Грибковая инфекция, вызываемая Candida albicans, развивается на фоне ослабленного иммунитета и сопровождается сухостью во рту, покраснением и отечностью тканей, дискомфортом и творожистым налетом.
4 Дифтерия.
Для этого опасного инфекционного заболевания типично образование плотного сероватого налета на поверхности миндалин, который очень сложно удалить механическим путем. Также наблюдается сильная боль в горле, осиплость, лихорадка, насморк, затруднение дыхания.
Внимание
При дифтерии только немедленно оказанная медицинская помощь способна обеспечить полное выздоровление, в противном случае возникает существенный риск развития осложнений и летального исхода.
Таким образом, если появилась белая точка в горле, что это точно сможет сказать только врач. При этом если она не проходит в течение длительного времени или наблюдается ухудшение общего состояния, следует обратиться к специалисту как можно скорее.
Белые точки в горле у ребенка
У детей грудного возраста основной причиной появления белесого налета на слизистых ротовой полости выступает кандидоз. Это обусловлено полной стерильностью кожи и слизистых малыша при рождении.
Поэтому, вдыхая воздух, получая материнское молоко или смесь из бутылки, засовывая в рот пальцы, грудничок заселяет ротовую полость микрофлорой. Иногда таким образом он заражается грибковой инфекцией, что вызывает появление неприятных симптомов.
На горле у ребенка дошкольного возраста белый налет чаще всего образуется на фоне острого тонзиллита. Ангина – исключительно бактериальное заболевание, чреватое тяжелыми осложнениями, потому к нему нужно относиться со всей внимательностью и не пренебрегать антибиотиками.
Красное горло с белыми точками у ребенка крайне редко говорит о наличии дифтерии, поскольку большинство современных людей вакцинировано от этого крайне опасного инфекционного заболевания.
Внимание
При возникновении подозрений на развитие этой патологии следует немедленно вызывать бригаду скорой помощи и направляться в стационар больницы для введения антидифтерийной сыворотки. Это способно спасти жизнь ребенку.
В любом случае, если у ребенка присутствуют пятнышки на гландах, особенно на фоне жара и плохого общего самочувствия, его следует сразу же показать врачу.К какому врачу обращаться?
Диагностика и лечение болезней горла – задача отоларинголога или, как его еще называют, ЛОРа. При отсутствии этого узкого специалиста в районной поликлинике можно обратиться к терапевту, детей же направляют к педиатру.
Если общее состояние больного неудовлетворительное, наблюдается повышенная температура и слабость в теле, не лишним будет вызвать на дом доктора. Он осмотрит пациента и на основании своих предположений назначит лечение или рекомендует пройти дополнительные обследования.
 Он осмотрит пациента и на основании своих предположений назначит лечение или рекомендует пройти дополнительные обследования.
Диагностика
Для точного определения причины возникновения нарушений и максимально эффективной терапии необходимо:
- ОАК и ОАМ;
- бактериологическое исследование маска из ротоглотки;
- ПЦР-анализ.
Тем не менее для большинства опытных специалистов достаточно визуального осмотра больного и сбора информации о характере его жалоб.
Лечение
Характер терапии подбирается на основании того, что вызвало маленькие белые точки в горле. Поэтому врач может назначить:
1
Местные и системные антибиотики. Спреи Биопарокс, Полидекса, Изофра или Ринил показаны при легких формах бактериальной инфекции. В более тяжелых без применения системных препаратов обойтись не удается. К числу таковых принадлежат Оспамокс, Аугментин, Флемоксин Солютаб, Сумамед, Хемомицин и т. д.
2
Растворы антисептиков (Хлорофиллипт спиртовой, Ротокан, Мирамистин, Гивалекс, Ангилекс, Фурацилин). Эти медикаменты призваны уничтожить патогенные микроорганизмы на поверхности слизистых оболочек при любых видах инфекции.
 Эти медикаменты призваны уничтожить патогенные микроорганизмы на поверхности слизистых оболочек при любых видах инфекции.3
Противогрибковые препараты (Фуцис, Микомакс, Микосист, Кетоконазол, Пимафуцин, Нистатин, Клотримазол и пр.) используются для терапии кандидоза и на фоне антибиотикотерапии.
4
Антигистамины (Кларитин, Лоратадин, Супрастин, Эриус) необходимы для ликвидации отечности и предотвращения возникновения аллергической реакции на другие принимаемые медикаменты.
5
Противовирусные препараты (Иммунал, Кагоцел, Лавомакс, Изопринозин, Протефлазид, Имудон) назначаются с целью повышения иммунного ответа и ускорения наступления выздоровления.
Для каждого больного перечень необходимых лекарств подбирается индивидуально. Крайне важно, чтобы горло с белыми точками осмотрел специалист и подобрал оптимальную терапию.Самолечение же способно привести к существенному ухудшению состояния и развитию осложнений. А при дифтерии промедление с введением специальной противодифтерийной сыворотки, уничтожающей выделяемые возбудителями токсины, подобное чревато тяжелейшими осложнениями, вплоть до смерти.
Физиотерапия
Но при хроническом тонзиллите только использования медикаментов недостаточно. В таких случаях дополнительно показано прохождение физиотерапии и обязательно промывания гланд в условиях ЛОР-кабинета.
Эта процедура считается самой эффективной для устранения пробок. Ее суть состоит в вымывании напором антисептического раствора образований из лакун миндалин.
Также пациентам может назначаться:
- УВЧ;
- ультразвуковая терапия;
- облучение ультрафиолетом;
- электрофорез.
Все эти методы повышают эффективность медикаментозной терапии. Они назначаются курсами по 10–12 процедур.
Как лечить в домашних условиях?
Если мелкие белые точки в горле у взрослого спровоцированы хроническим тонзиллитом, можно попробовать устранить неприятно пахнущие пробки в домашних условиях. С этой целью можно использовать:
1
Полоскания вышеперечисленными растворами антисептиков, в том числе и отварами или настоями лекарственных трав.
2
Ингаляции с физиологическим раствором или «Боржоми». Процедуры, выполненные с этой минеральной водой, обладающей уникальным составом, помогают несколько разрыхлить ткани миндалин. Это способствует более легкому и быстрому отхождению пробок. Также могут применяться паровые ингаляции с отваром цветков ромашки, зверобоя и эфирными маслами эвкалипта, чайного дерева и пр.Также в рамках самолечения допускается применение средств для устранения симптомов заболевания:
3
Антисептические леденцы и спреи (Орасепт, Ангилекс, Гивалекс, Стрепсилс, Септолете, Фарингосепт, Лисобакт) показаны при любых воспалительных поражениях слизистых оболочек горла. Они способствуют устранению болевых ощущений и патогенной микрофлоры.
4
5
Жаропонижающие (Панадол, Нурофен, Имет, Рапимиг) используются для снижения температуры.
[ads-pc-1][ads-mob-1] Тем не менее любые народные средства можно начинать применять только при условии отсутствия аллергии на них. При этом любые попытки самостоятельно механически удалить пробки или пятно гноя могут закончиться плачевно, поскольку во время процедуры очень легко повредить поверхность слизистой и занести в рану инфекцию.Но при герпетической ангине любые ингаляции и согревающие процедуры противопоказаны. Они могут лишь привести к распространению инфекции по организму.
Оперативное лечение
Хирургическое вмешательство показано исключительно при хроническом тонзиллите, который с большой долей вероятности приведет к распространению патогенной микрофлоры и воспалительного процесса на другие органы и системы, а также:
- не поддается консервативному лечению;
- часто обостряется;
- протекает с выраженными симптомами и нарушает привычный уклад жизни больного. 
Суть операции состоит в удалении необратимо измененных миндалин вместе с их капсулами, переставших выполнять свои функции и превратившиеся из органа иммунной системы в хронический очаг опасной инфекции. Она называется тонзиллэктомией и проводится практически в любой поликлинике.
Подобное хирургическое вмешательство выполняется под местным наркозом. Оно может выполняться как традиционным путем, так и с помощью лазера, но в любом случае занимает не более получаса.
После операции раневая поверхность покрывается белым налетом, который постепенно сходит на протяжении 10 дней. Но полное заживление происходит только спустя 3 недели.
В помощь к лечению:Какие могут быть осложнения, если не лечить?
Наличие хронического очага инфекции в организме способно привести к распространению патогенных микроорганизмов и поражению ими других органов. Чаще всего от этого страдают:
- почки;
- суставы;
- сердце.
Если же присутствует гнойник или при попытках удалить пробки механическим способом образуется открытая рана, микробы способны проникнуть в кровеносное русло. Подобное чревато развитием сепсиса – заражения крови, в половине всех случаев приводящее к смерти пациента даже при своевременном обращении за медицинской помощью.
 Подобное чревато развитием сепсиса – заражения крови, в половине всех случаев приводящее к смерти пациента даже при своевременном обращении за медицинской помощью.
Отсутствие же лечения при дифтерии и несвоевременное введение антидифтерийной сыворотки чревато развитием тяжелых поражений нервной системы и смертью больного.
Профилактика
В профилактических целях рекомендуется:
- правильно питаться и включить в свой повседневный рацион свежие овощи и фрукты в достаточных количествах;
- ежедневно гулять на свежем воздухе;
- укреплять иммунитет путем закаливания;
- избегать контакта с больными инфекционными болезнями;
- повысить физическую активность;
- регулярно делать влажную уборку в доме и проветривать помещение.
Немаловажно делать профилактические прививки, согласно графику вакцинации, причем не только детям, но и взрослым. В частности, прививка от дифтерии, которая взрослым показана каждые 10 лет, способна создать крепкий иммунитет и максимально снизить риск заражения возбудителем патологии.
Поделитесь с друзьями
Оцените статью: Загрузка…К какому врачу обращаться при появлении гнойных пробок в горле
Лоры (отоларингологи) Москвы — последние отзывы
Приём прошёл никак,врач абсолютно была не заинтересована,сам осмотр занял секунд 15 ,так же отправила на кт носовых пазух,от увиденной искривлённой перегородки началось навязывание операции ,причём именно у неё
Аноним, 21 января 2022
 Прекрасный доктор. Прием прошел отлично. Врач выслушал наши жалобы, выдал направление на КТ, по результатам которого все подробно объяснил и поставил правильный диагноз. Выписал необходимое лечение. Сказал, что если не будет улучшений, тогда делать операцию. Спасибо ему большое. Обратимся к этому специалисту повторно, при необходимости.
 Прием прошел отлично. Врач выслушал наши жалобы, выдал направление на КТ, по результатам которого все подробно объяснил и поставил правильный диагноз. Выписал необходимое лечение. Сказал, что если не будет улучшений, тогда делать операцию. Спасибо ему большое. Обратимся к этому специалисту повторно, при необходимости.
Тахмина, 21 января 2022
 Всё отлично, нам очень понравилось. Врач шикарный. Аза Дзаиндиевна ответила на все вопросы, всё показала и рассказала. Нам как родителям было донесено всё, даны рекомендации, показали наглядно на лор комбайне. Был первый раз в такой атмосфере профессионализма. Мы с района, проездом в Москве. Обратились к этому врачу. Чувствуется уровень. Нам уделили максимум времени на приеме пока у нас не кончились вопросы. Это именно детский врач. Чувствовался хороший настрой к ребенку.
 Был первый раз в такой атмосфере профессионализма. Мы с района, проездом в Москве. Обратились к этому врачу. Чувствуется уровень. Нам уделили максимум времени на приеме пока у нас не кончились вопросы. Это именно детский врач. Чувствовался хороший настрой к ребенку.
На модерации, 22 января 2022
 Татьяна Михайловна мне очень помогла. Врач внимательный и деликатный. Обращалась к ней первый раз. Прием длился практически целый час. Получила для себя программу лечения и разъяснения почему так получилось. Пойду к врачу повторно через неделю. Когда хороший врач, это всегда хорошо!
 Когда хороший врач, это всегда хорошо!
На модерации, 22 января 2022
Выбирала специалиста по опыту работы, по рейтингу и по отзывам. Прием длился минут сорок. Всё прошло хорошо. Врач назначил исследование, которое возможно было сразу провести. Мы всё сделали. И по результатам доктор назначил план дальнейшего лечения. Этого специалиста я порекомендовала бы знакомым.
Оксана, 21 января 2022
Приём прошёл отлично
На модерации, 21 января 2022
 Хороший компетенций врач. На приеме доктор дал рекомендации и назначил лечение. Специалиста выбирала по стажу и категории. Осталась довольна качество приема.
 На приеме доктор дал рекомендации и назначил лечение. Специалиста выбирала по стажу и категории. Осталась довольна качество приема.
Елена, 21 января 2022
 Прием длился часа полтора. Всё было отлично. Вежливый и тактичный доктор. Всё прошло максимально корректно. Врач поставил диагноз и провел процедуры. Рассказал страшного в диагнозе, как будет проходить лечение и как этого больше не допускать. А также специалист всё мне объяснил и назначил курс лечения.  Я получил необходимые мне услуги. К этому доктору я повторно обратился бы и порекомендовал знакомым.
Артем, 21 января 2022
Доктор очень внимательный, всё понятно объясняет, уделил дочке очень много времени, назначил лечение. Обязательно придем ещё раз на приём
Юлия Федосюк, 20 января 2022
 Прием состоялся. Ева Станиславовна подробно описала схему лечения. Провела осмотр, назначила анализы и дала подробные рекомендации. Она вежливо общалась со мной. Доброжелательный и внимательный доктор.
 Ева Станиславовна подробно описала схему лечения. Провела осмотр, назначила анализы и дала подробные рекомендации. Она вежливо общалась со мной. Доброжелательный и внимательный доктор.
На модерации, 23 января 2022
Показать 10 отзывов из 16305Тонзиллит: симптомы и лечение | Энциклопедия горла ГЕКСОРАЛ®
18.01.2022 г.
224 224
9 минут
Содержание:
Воспаление небных миндалин, или тонзиллит, – распространенное заболевание. Небные миндалины находятся на перекрестке дыхательных и пищеварительных путей и постоянно сталкиваются с огромным количеством раздражителей и микроорганизмов1, попадающих в организм через рот и нос. Иногда это приводит к развитию воспалительного процесса. Давайте разберемся, по каким признакам можно заподозрить тонзиллит, и как лечить его у взрослых.
 Давайте разберемся, по каким признакам можно заподозрить тонзиллит, и как лечить его у взрослых.
Наверх к содержанию
Немного анатомии и физиологии
Небные миндалины находятся на боковых стенках глотки и по форме напоминают крупные ядра миндаля. Второе название – «гланды» – миндалины получили из-за сходства с желудями, которые на латинском языке называют «glandulae». Поскольку на латыни миндалины – это «tonsilla», их воспаление называют тонзиллитом.
Небные миндалины относятся к органам иммунной системы и представляют собой небольшие скопления лимфоидной ткани 2. Выступающая в глотку часть гланд имеет углубления (лакуны), в стенках которых находятся многочисленные щелевидные карманы (крипты)1. Поверхность крипт – это «рабочая зона» миндалин. Здесь происходят основные физиологические процессы: иммунные клетки фагоциты поглощают проникших в миндалины микробов, «изучают» их, отправляют полученную информацию в вышестоящие отделы иммунной системы, а затем убивают инфекцию1. Если микробы очень агрессивные и их много, да еще иммунитет ослаблен, развивается инфекционное воспаление миндалин – тонзиллит.
 Если микробы очень агрессивные и их много, да еще иммунитет ослаблен, развивается инфекционное воспаление миндалин – тонзиллит.
Наверх к содержанию
Причины тонзиллита
В зависимости от характера течения тонзиллит может быть:
- острым (его еще называют ангиной),
- хроническим1,2,3.
Причина острого воспаления миндалин – инфекция1. Она может быть вирусной, бактериальной или смешанной1,2.
Вирусная природа ангины преобладает у взрослых и детей старше 15 лет1,2. Обычно она развивается при ОРВИ, которые вызывают риновирусы, аденовирусы, вирусы парагриппа1. При этом тонзиллиту сопутствуют ринит, фарингит, ларингит и другие заболевания дыхательных путей1.
У детей 5-15 лет чаще бывают бактериальные тонзиллиты, причем на первом месте (до 30% случаев) среди них стоит самый опасный вид ангины, вызываемый бета-гемолитическим стрептококком группы А1. У взрослых эта разновидность тонзиллита встречается намного реже1, а среди бактерий-возбудителей заболевания преобладают стрептококки других групп, коринебактерии, гемофильные палочки, нейссерии, стафилококки1.
Причина хронического тонзиллита – тоже инфекция, но, в отличие от острых процессов, вызванная менее агрессивными возбудителями2. Острого воспаления миндалин в этом случае может не быть, процесс изначально носит хронический характер и скрывается за частыми ОРВИ и воспалительными заболеваниями полости рта и глотки (безангинозная форма хронического тонзиллита)2.
Хроническое воспаление приводит к гибели функциональной, то есть лимфоидной, ткани миндалин и ее замещению соединительной тканью1. Миндалины постепенно утрачивают свои защитные функции, часто становятся легкой добычей микробов и вирусов, воспаляются и превращаются в рассадник инфекции1 и раздражитель для иммунной системы. В результате хронического тонзиллита нередко возникают иммунные нарушения, влекущие за собой развитие инфекционно-аллергических и аутоиммунных заболеваний1,2.
Наверх к содержанию
Симптомы тонзиллита
Главный симптом как вирусного, так и бактериального тонзиллита – боль в горле, которая усиливается при глотании и во время разговора1. Иногда она достигает такой степени выраженности, что сложно сделать даже маленький глоток воды, не говоря уже о приеме пищи.
 Иногда она достигает такой степени выраженности, что сложно сделать даже маленький глоток воды, не говоря уже о приеме пищи.
Боль в горле могут дополнять:
- повышенная температура тела, вплоть до высокой лихорадки;
- краснота миндалин и появление на них налета или пузырьковых высыпаний;
- болезненность передних шейных лимфатических узлов1.
Если вместе с этим присутствуют насморк и кашель, вероятнее всего, воспаление миндалин имеет вирусную природу1.
Общая интоксикация, вызванная инфекцией, выражается в появлении слабости, дневной сонливости, вялости, головной боли, ломоте в мышцах и суставах1.
В зависимости от картины, которую можно увидеть при осмотре горла, ангина бывает катаральной, фолликулярной, лакунарной1.
При катаральной ангине миндалины становятся красными и отечными1. При фолликулярной они резко увеличиваются в объеме, на их поверхности появляются беловатые точки – наполненные гноем фолликулы, которые просвечивают через воспаленную слизистую оболочку1. При лакунарной ангине поверхность миндалин покрывается гноем, который выступает из лакун1.
 При лакунарной ангине поверхность миндалин покрывается гноем, который выступает из лакун1.
Ангины, вызванные бета-гемолитическим стрептококком, характеризуются появлением на гландах гнойных пленок, которые прочно связаны с подлежащими тканями1. При отторжении пленок на миндалинах образуются кровоточащие эрозии и язвы1.
Тонзиллит, связанный с вирусом Коксаки, протекает по типу герпетической ангины, при которой на гландах появляется множество мелких, наполненных мутной слизью пузырьков1.
Наверх к содержанию
Особенности хронического тонзиллита
Хронический тонзиллит протекает с обострениями, во время которых появляются такие же симптомы, как и при ангине2,3.
В период затишья3:
- неприятные ощущения в глотке беспокоят почти 98 % больных;
- гнилостный запах изо рта отмечают до 88 % пациентов;
- пробки и гнойный налет на миндалинах врачи обнаруживают почти в 84% случаев;
- спайки между миндалинами и дужками выявляются примерно у 60% пациентов;
- увеличение и болезненности при ощупывании шейных лимфатических узлов диагностируются в 62% случаев;
- боли в суставах беспокоят каждого третьего больного;
- субфебрильную температуру (до 380С) отмечают 18% пациентов;
- боль в сердце – около 8% больных хроническим тонзиллитом3. 
В зависимости от стадии развития, заболевание может протекать в следующих формах2,3:
- Простая форма, по сути, является начальной стадией заболевания, при которой патологический процесс ограничивается в основном миндалинами2,3.
- Токсико-аллергическая форма:
- I стадия: появляются признаки общей интоксикации, такие как субфебрильная температура, слабость, быстрая утомляемость, а также ломота в суставах и боли в сердце, связанные с функциональными нарушениям.
- II стадия: к общей интоксикации присоединяются осложнения тонзиллита, такие как паратонзиллярный абсцесс, сепсис, ревматизм, пороки сердца и т.д2,3. В этом случае картину тонзиллита дополняют симптомы этих заболеваний.
Наверх к содержанию
Лечение тонзиллита
Появление симптомов тонзиллита – повод для обращения к врачу. Самолечение в этом случае недопустимо. Только врач может определить форму заболевания, установить его причины и подобрать правильное лечение.
При тонзиллите, вызванном бактериальной микрофлорой, и особенно бета-гемолитическим стрептококком группы А, назначают антибиотики1,2. В дополнение к ним врачи рекомендуют местное лечение – орошение и полоскание горла препаратами на основе уничтожающих инфекцию антисептиков и анальгетиков, которые снимают боль1,2. В легких случаях и при отрицательных анализах на стрептококк лечение в целом ограничивается местной терапией1,2.
В качестве комбинированного препарата для местной терапии тонзиллита может быть использован ГЕКСОРАЛ®4,5,6,7,8. В линейке ГЕКСОРАЛ® представлены растворы для полоскания и орошения горла, а также таблетки для рассасывания с различными действующими компонентами и вкусами.
В основе раствора ГЕКСОРАЛ® – антисептик гексэтидин. Он активен в отношении большинства бактерий и некоторых вирусов, способен оказывать легкое обезболивающее действие4. Также он может помочь очистить миндалины и облегчить боль в горле.
 Также он может помочь очистить миндалины и облегчить боль в горле.
ГЕКСОРАЛ® аэрозоль имеет специальную насадку, благодаря которой раствор можно равномерно распределить по всей слизистой оболочке глотки5.
Традиционное лечение тонзиллита могут также дополнить таблетки для рассасывания ГЕКСОРАЛ® ТАБС6, ГЕКСОРАЛ® КЛАССИК7 и ГЕКСОРАЛ® ТАБС ЭКСТРА8. Последний из перечисленных препаратов содержит в своем составе мощный анестетик лидокаин и может быть полезен для борьбы с сильной болью в горле8.
Консервативное лечение показано также больным с простой формой хронического тонзиллита2,3. Оно включает не только медикаментозную терапию, но и такие врачебные процедуры, как промывания лакун небных миндалин, введение в них антибактериальных и антисептических препаратов, а также различные физиотерапевтические процедуры, помогающие очистить миндалины и стимулировать их защитные функции3. Препараты ГЕКСОРАЛ® также могут быть использованы в качестве средств для местной терапии тонзиллита4,5,6,7,8.
 Препараты ГЕКСОРАЛ® также могут быть использованы в качестве средств для местной терапии тонзиллита4,5,6,7,8.
Хронический тонзиллит в запущенной форме – показание к хирургическому лечению, то есть операции удаления миндалин2,3.
Наверх к содержанию
Информация в данной статье носит справочный характер и не заменяет профессиональной консультации врача. Для постановки диагноза и назначения лечения обратитесь к квалифицированному специалисту.
Литература
- С. Я. Косяков, И. Б. Анготоева. Современные представления о тонзиллофарингите. Медицинский совет, №17, 2015, стр. 32-36.
- Т. С. Полякова, Е. П. Полякова. Хронический тонзиллит: диагностика, лечение, профилактика. Русский медицинский журнал, №2, 2004, стр. 65-68.
- Г. Р. Каспранская, А. С. Лопатин. Хронический тонзиллит: разные взгляды на старую проблему. Медицинский cовет, № 5–6, 2013, стр. 69-71.
- Инструкция по применению препарата ГЕКСОРАЛ® раствор. 
- Инструкция по применению препарата ГЕКСОРАЛ® аэрозоль.
- Инструкция по применению препарата ГЕКСОРАЛ®ТАБС.
- Инструкция по применению препарата ГЕКСОРАЛ®КЛАССИК.
- Инструкция по применению препарата ГЕКСОРАЛ®ТАБС ЭКСТРА.
Удаление гнойных пробок из миндалин в горле
Лечение пробок миндалин в ЛОР клинике №1
Рейтинг статьи3.80 (Проголосовало: 25)
Что такое миндалины? Миндалины — это поверхностно расположенные в ротоглотке между небными дужками лимфатические узлы. Они представляют собой орган имунной защиты от угрозы попадания болезнетворных микроорганизмов в нижние дыхательные пути, то есть орган, призванный очищать вдыхаемый воздух от инфекции, либо локализовать эту инфекцию (принять огонь на себя) чтобы не допустить ее распространение ниже.
Здоровые миндалины представляют собой образования, пронизанные «лакунами» и «криптами» (складками и ходами), это предусмотрено для того, чтобы таким образом многократно увеличить поверхность рабочего эпителия, продуцирующего защитные антитела и иммуноглобулины. То есть намерения иметь такую «многоходовую» структуру абсолютно благие. Но, как известно, все наши достоинства — они же и наши недостатки. Так и в этом случае, если здоровая ткань миндалины должна самоочищаться , и лакуны (карманы) и крипты (ходы) не должны накапливать никакого содержимого, то миндалина, измученная работой не справляется с этой функцией и накапливает в своих «закормах» слущенный эпителий, а иногда и остатки пищи в виде беловато-желтоватых масс, являющихся прекрасной средой для развития бактерий, о чем свидетельствует неприятный запах от этих накоплений.
Сами пациенты замечают, что в миндалинах накапливается какое то содержимое, либо определив это визуально, либо по чувству инородного тела справа или слева, «покалывания» при глотании, иногда это отделяемое может откашливаться и отплевываться или обнаруживается  как случайная находка  при осмотре горла  врачом — оториноларингологом.
В этом случае миндалина уже не работает как орган защиты и является скорее очагом инфекции.
Чем опасны пробки в миндалинах?
Оставлять без внимания такой процесс в миндалинах нельзя, в части случаев  отделяемое в лакунах заселяет гемолитический стрептококк, антигенная структура которого очень похожа на антигенную структуру ряда тканей нашего организма, а именно: сердечной мышцы, паренхимы почек, синовиальной сумки (суставная ткань). Антитела, которые старательно вырабатывает организм, не справляясь с инфекцией в миндалинах, могут атаковать собственные ткани, приводя к ревматической патологии: ревматизм, ревматоидный артрит и т.д. И это только самые грозные осложнения, чаще же всего, имея такой очаг в ротоглотке мы чувствуем это на качестве жизни. Любое переохлаждение приводит  к воспалению миндалин задней стенки глотки: появляются боли в горле, заложенность носа, может присоединиться отит, гайморит, то есть инфекция,  которая нашла себе пристанище  в миндалинах, при удобном случае и снижении резистентности организма: переохлаждении под кондиционером, при активном отдыхе  в холодное время года и. т.д.,  начинает  активное размножение и обсеменение слизистых своей патогенной флорой.
 т.д.,  начинает  активное размножение и обсеменение слизистых своей патогенной флорой.
Что делать в случае пробок в миндалинах?
Конечно обратиться к врачу оториноларингологу в специализированный ЛОР кабинет, в Москве это можно сделать в ЛОР клинике номер 1, где Вам проведут лечение, включающее в себя санацию миндалин (промывание пробок миндалин). Большое значение в лечении имеет доступность этого органа для промывания лекарственными средствами, как ручным методом (специальными инструментами), так и физиотерапевтическим воздействием.
Очень хорошо оздоравливается ткань миндалины при лечении аппаратом «Тонзиллор», когда происходит ультразвуковое промывание миндалин с последующим фонофорезом в ткань миндалины лекарственного вещества. При лечении тонзиллором происходит как очищение миндалины, так и значительное уменьшение их в диаметре, снятие воспаления, уничтожение патогенной микрофлоры. Кроме этой методики широко применяется бесконтактный метод лечения миндалинах УЗОЛ-терапия, эндолакунарная лазеротерапия, фотохромотерапия.
ЛОР специалисты — врачи ЛОР клиники номер 1 индивидуально подберут методику лечения и возьмут на диспансерное динамическое наблюдение. Курс лечения обычно составляет 8-10 процедур. Так как процесс воспаления в миндалинах в этом случае является хроническим, целесообразно повторять курс лечения раз в пол-года, что поможет Вам сохранить защитную функцию миндалин, значительно улучшит качество жизни (снизит заболеваемость), и предотвратит развитие грозных осложнений .
Надо отметить, что на фоне регулярного лечения в течении 2-3-х лет у части пациентов возможно полное выздоровление и восстановление функции миндалин, не требующее дальнейших курсов противорецидивной терапии.
Поражения полости рта: белые пятна | Стоматология в Красноярске «ВОКА»
Чаще всего белые пятна в полости рта – это реакция тканей на какой-то раздражитель. При этом ткань в области белого пятна может стать значительно толще. Также белые поражения могут означать какое-либо заболевание, протекающее в организме человека.
Часто задаваемые вопросы:
1. Из-за чего появляются белые пятна?
Появление белых пятен во рту может быть связано с:
- Частым прикусыванием щёк. Из-за этого могут образоваться рубцы или «фиброзная ткань».
- Курением.
- Частым контактом (трением) с неудобным зубным протезом.
- Частым трением и жеванием пищи деснами с утраченными зубами.
- Грибковой инфекцией.
- Аутоиммунным заболеванием (например, красный плоский лишай Уилсона).
- Сифилисом.
- Раком.
2. У кого есть риск появления белых пятен?
Курящие люди, а также люди с частой сухостью во рту и ослабленной иммунной системой более подвержены развитию грибковой инфекции, которая выглядит как белое пятно во рту. У курящих людей белые пятна могут появляться в полости рта из-за постоянного контакта с табачным дымом. Люди, которые часто закусывают и травмируют щёки, также находятся в зоне риска появления белых пятен. Такие же пятна могут возникать при контакте с неудобным протезом или твердой пищей, особенно в тех местах десны, где раньше были зубы.
3. Что делать, если у меня во рту белые пятна?
Запомните размер, цвет, расположение и время появления белого пятна во рту. Если оно не проходит в течение недели или причиняет боль, обратитесь к стоматологу. Он осмотрит Вашу полость рта и даст рекомендации.
4. Что будет, если ничего не делать с белым пятном?
Если белое пятно возникло из-за какого-либо заболевания или прогрессирующей грибковой инфекции, то без лечения ситуация может ухудшиться. Если пятно образовалась из-за постоянного травмирования тканей, то раздражитель (например, неудобный протез) необходимо убирать. Если вовремя не показаться стоматологу, то можно упустить такое серьёзное и опасное заболевание, как рак.
Фиброма от кусания щёк
Красный плоский лишай Уилсона
Грибковая инфекция на нёбе (связана с протезом)
Рак миндалин: лечение, симптомы, диагностика
Новое в понимании болезни
Лазерная микрохирургия при раке миндалин может стать одним из методов лечения наряду со стандартной хирургией. Исследования показали, что  лечение рака миндалин с использованием этого метода при небольших опухолях эффективно и безопасно. В том числе, наблюдается существенное уменьшение послеоперационных осложнений.
 Исследования показали, что  лечение рака миндалин с использованием этого метода при небольших опухолях эффективно и безопасно. В том числе, наблюдается существенное уменьшение послеоперационных осложнений.
Рак миндалин – это злокачественная опухоль, происходящая из слизистой оболочки корня языка, небной миндалины, задней стенки глотки, небных дужек и мягкого неба. Рак миндалин относится к опухолям головы и шеи. Злокачественное новообразование развивается в лимфоидной ткани ротоглотки, растет без четкой границы, часто выглядит, как инфильтрат или язва. В отношении этого заболевания иногда применяют термин «рак гланд» (гланды – небные миндалины). Рак миндалин встречается редко, обычно быстро развивается и быстро метастазирует. Раньше других органов поражаются метастазами регионарные лимфоузлы.
Опухоль легко обнаруживается при осмотре ротовой полости. Образование обычно возникает на одной миндалине; случаи, когда рак развивается на обеих миндалинах, крайне редки. Болезнь поражает преимущественно мужчин от 54 до 75 лет. В 95% и более случаев наблюдается плоскоклеточный рак и разновидности этого вида рака с язвенным ростом.
 Болезнь поражает преимущественно мужчин от 54 до 75 лет. В 95% и более случаев наблюдается плоскоклеточный рак и разновидности этого вида рака с язвенным ростом.
Диагностика
Для диагностики рака миндалин проводят первичное обследование, выполняют анализы крови и анализы на онкомаркеры. Обязательно проводят биопсию из опухоли для верификации диагноза. В определении распространенности опухоли и наличия метастазов в лимфоузлах важную роль играют компьютерная томогрфия (КТ).
ПЭТ-КТ – новейший метод исследования, который применяют для определения стадии болезни с целью уточнения тактики лечения. Использование ПЭТ-КТ позволяет оценить результат проведенного лечения, а также выявить возможный рецидив болезни.
Гистологическую верификацию для пациентов LISOD выполняют в референтной лаборатории-партнере Opti-Path Gemeinschaftspraxis fur Pathologie в Германии. Установленный правильный диагноз гарантирует в дальнейшем адекватное лечение.
 Установленный правильный диагноз гарантирует в дальнейшем адекватное лечение.
Лечение
Полную информацию о диагностике и лечении этого вида рака Вам предоставят консультанты Информационной службы LISOD:
- 0-800-500-110 (бесплатно для звонков со стационарных телефонов по Украине)
- или +38 044 520 94 00 – ежедневно с 08:00 до 20:00.
Хирургическое лечение заключается в максимальном удалении опухоли миндалины и пораженных лимфоузлов.
Дополнительно может быть показана лучевая терапия при больших размерах опухоли и ее низкой дифференцировке, при крупных лимфоузлах или при прорастании капсулы лимфоузла. В таких случаях оправдано сочетание химиотерапии и радиотерапии.
Химиолучевая терапия в настоящее время высокоэффективна как самостоятельный метод. Применение таргетного препарата Цетуксимаб вместе с лучевой терапией или химиотерапией усиливает эффективность лечения. Химиотерапия как самостоятельный метод лечения показана только при распространенной опухоли миндалины.
Важную роль играет дальнейшее наблюдение с повторными частыми осмотрами каждые два-три месяца. Большинство рецидивов приходится на первые два года после окончания лечения. При рецидивах применяют повторную операцию, облучение или их сочетание.
Симптомы
Вначале опухоль бывает бессимптомной, особенно при поражении корня языка, где она располагается под слизистой и растет вглубь. Иногда первым проявлением рака корня языка и миндалины бывают метастазы в шейные лимфоузлы. Также характерны боль, нарушение глотания, ощущение объемного образования в горле.
 Иногда первым проявлением рака корня языка и миндалины бывают метастазы в шейные лимфоузлы. Также характерны боль, нарушение глотания, ощущение объемного образования в горле.
По мере прогрессирования заболевания может появиться примесь крови в слюне, отмечается болезненность и увеличение лимфоузлов. Характерны гнойно-слизистые выделения, затрудненное носовое дыхание, заложенность ушей и боли в них. При распространении новообразования вверх и вбок может произойти разрушение кости основания черепа; в процесс вовлекаются черепные нервы, возникают неврологические симптомы, такие как слепота, паралич мышц мягкого неба, голосовой связки, глазных мышц.
Факторы риска
- Курение: чаще всего рак миндалин встречается у курящих людей; чем больше стаж курения, тем выше риск заболеть раком миндалин. 
- Злоупотребление алкоголем.
Вопросы и ответы
В разделе публикуются вопросы пациентов и ответы наших специалистов. Вопрос каждого человека касается конкретной проблемы, связанной с его заболеванием. Пациентам отвечают израильские клинические онкологи и главный врач LISOD, д.м.н., профессор Алла Винницкая.
Ответы специалистов основаны на знаниях принципов доказательной медицины и профессиональном опыте. Ответы соответствуют исключительно предоставленным сведениям, имеют ознакомительный характер и не являются врачебной рекомендацией.
Основная цель раздела – дать информацию пациенту и его семье, чтобы вместе с лечащим врачом принять решение о виде лечения. Предложенная Вам тактика лечения может отличаться от принципов, изложенных в ответах наших специалистов. Не стесняйтесь задать лечащему врачу вопрос о причинах отличий. Вы должны быть уверены, что получаете правильное лечение.
   Вы должны быть уверены, что получаете правильное лечение.
Сочетанная лучевая и химиотерапия дает отличные результаты (особенно в молодом возрасте, когда развитие опухоли, чаще всего, связано с вирусом папилломы человек (HPV).
Да, карцинома небной миндалины хорошо лечится лучевой или сочетанной лучевой и химиотерапией. В той стадии, которую Вы указали (T2N0M0), возможно полное излечение в большом проценте случаев. 
Три месяца – это незначительный срок и  если болезнь через три месяца после окончания радикального лечения еще определяется, следует говорить не о рецидиве опухоли, а о продолжении болезни (так называемой персистирующей карциноме) и, скорее всего, полного излечения не было. В этих случаях болезнь, даже если не определяется визуально, остается на микроскопическом уровне и неминуемо проявляется  вновь.
 В той стадии, которую Вы указали (T2N0M0), возможно полное излечение в большом проценте случаев. 
Три месяца – это незначительный срок и  если болезнь через три месяца после окончания радикального лечения еще определяется, следует говорить не о рецидиве опухоли, а о продолжении болезни (так называемой персистирующей карциноме) и, скорее всего, полного излечения не было. В этих случаях болезнь, даже если не определяется визуально, остается на микроскопическом уровне и неминуемо проявляется  вновь.
 Скажите, пожалуйста, какое лечение правильное? Заранее благодарю.
 Скажите, пожалуйста, какое лечение правильное? Заранее благодарю.Стандартное лечения таких опухолей: сочетанная химиолучевая терапия.
Показать еще
Новости по теме
Белые пятна на миндалинах: причины и лечение
  [AD] Есть вопросы о ваших миндалинах? Поговорите с врачом онлайн, чтобы получить ответы. Используйте код HEALTHILY5, чтобы получить скидку 5 фунтов стерлингов на первую встречу.
 Используйте код HEALTHILY5, чтобы получить скидку 5 фунтов стерлингов на первую встречу.  
 Миндалины — это две мясистые шишки в задней части рта — одна слева и одна справа. Они отвечают за улавливание и уничтожение микробов, а также помогают предотвратить инфекции горла и легких.
Но иногда могут инфицироваться и сами миндалины, что может привести к появлению белых пятен на задней стенке горла.
Белые пятна на миндалинах появляются по разным причинам. В этой статье объясняются пять возможных причин.
Вас беспокоят белые пятна на миндалинах?
Загрузите наш Инструмент самооценки, чтобы узнать, какими они могут быть.
Загрузить сейчас
Белые пятна на миндалинах, вызванные ангиной
Стрептококковая инфекция горла — заразная бактериальная инфекция. Помимо белых пятен на миндалинах, симптомы могут включать:
- лихорадка
- красное и больное горло
- головная боль
- озноб
- трудности с глотанием
- опухшие лимфатические узлы или железы на шее
- потеря аппетита
 Обычно для лечения стрептококкового фарингита вам потребуются антибиотики, но после начала лечения симптомы обычно исчезают примерно через неделю.
Когда волноваться
Обратитесь к врачу, если вы испытываете:
- симптомы острого фарингита
- затрудненное дыхание
- боль в горле, которая длится более двух дней
- боль в горле с мелкой, похожей на наждачную бумагу, розовой сыпью на коже
- трудности с глотанием
Белые пятна на миндалинах, вызванные тонзиллитом
Если у вас белые пятна на миндалинах, это может быть признаком тонзиллита. Тонзиллит обычно является вирусной инфекцией, и симптомы, как правило, исчезают через неделю.
Другие симптомы тонзиллита включают:
- кашель
- лихорадка
- головная боль
- тошнота
- усталость
- воспаленные шейные железы
- красные и опухшие миндалины
Когда волноваться
Обратитесь к врачу, если ваши симптомы не улучшаются через три-четыре дня или если они тяжелые.
Вам следует немедленно обратиться за медицинской помощью, если у вас есть:
- затрудненное дыхание, глотание слюны или открывание рта
- сильная боль
- постоянная высокая температура
- тяжелые симптомы, в частности, боль только с одной стороны горла
Белые пятна на миндалинах, вызванные молочницей полости рта
 Оральная молочница — это грибковая инфекция, которая может возникать во рту и вызывает появление белых пятен на миндалинах. Белые пятна могут развиваться и в других частях рта, а иногда они объединяются, образуя более крупные пятна, называемые «бляшками».
 Белые пятна могут развиваться и в других частях рта, а иногда они объединяются, образуя более крупные пятна, называемые «бляшками».
Молочница полости рта обычно не является серьезной или заразной, и в большинстве случаев она проходит без лечения.
Помимо белых пятен, кандидозный стоматит может вызывать:
- болезненность, красные пятна вокруг рта
- боль при еде или питье
- красный и больной рот
- временные изменения ваших вкусовых рецепторов
Молочницу полости рта можно лечить аптечным гелем для полости рта, лечение обычно занимает семь дней.
[AD] Есть вопросы о миндалинах? Поговорите с врачом онлайн, чтобы получить ответы. Используйте код HEALTHILY5, чтобы получить скидку 5 фунтов стерлингов на первую встречу.
Когда волноваться
Вам следует обратиться к врачу, если:
- ваши симптомы не улучшаются после одной недели лечения
- ты изо всех сил пытаешься дышать
- больно глотать
Белые пятна на миндалинах, вызванные инфекционным мононуклеозом (железистой лихорадкой)
 Инфекционный мононуклеоз или гландулярная лихорадка вызывается вирусом Эпштейна-Барр, и одним из симптомов является тяжелый тонзиллит, при котором на миндалинах появляются белые пятна.
Это самоизлечивающееся заболевание, и большинство людей выздоравливают примерно через две недели, но вы можете чувствовать усталость в течение нескольких недель после того, как ваши симптомы исчезнут.
А также белые пятна на миндалинах может вызвать:
- боль в горле
- отек вокруг глаз
- сильная усталость
- слабая боль в верхней левой части живота (из-за увеличения селезенки)
- гриппоподобные симптомы, такие как лихорадка, мышечные боли и головные боли
- воспаленные железы
Когда волноваться
Обратитесь к врачу, если у вас есть какие-либо симптомы железистой лихорадки.
Получите немедленную медицинскую помощь, если вы:
- проблемы с глотанием
- изо всех сил пытаются дышать
- имеют сильную боль в животе
Белые пятна на миндалинах, вызванные камнями миндалин
 Камни миндалин — это скопление мусора в задней части горла. Обычно их не о чем беспокоить, но они могут вызывать неприятные симптомы, такие как:
 Обычно их не о чем беспокоить, но они могут вызывать неприятные симптомы, такие как:
Заключение
Белые пятна на миндалинах могут появляться по ряду причин.Скорее всего, причина несерьезная, но обратитесь к врачу, если у вас есть какие-либо из тревожных симптомов, упомянутых выше.
Вы также можете попробовать наш Инструмент самооценки, чтобы получить больше информации о том, что может быть причиной появления белых пятен на миндалинах.
[AD] Есть вопросы о миндалинах? Поговорите с врачом онлайн, чтобы получить ответы. Используйте код HEALTHILY5, чтобы получить скидку 5 фунтов стерлингов на первую встречу.
Информация о статьях
- Последнее отзывание:
- 06 августа 2019
- Следующий отзыв:
- 06 августа 20228
Что такое миндальные камни? Симптомы, причины, диагностика, лечение и профилактика
 Поскольку камни в миндалинах не представляют серьезной проблемы для здоровья и, как правило, не представляют опасности, ваш врач, вероятно, порекомендует профилактические меры для периодического их удаления и уменьшения симптомов. Если они вас не беспокоят и вы не замечаете неприятных симптомов, ваш врач может посоветовать вам оставить их в покое, говорит Йип. (1,2)
 Если они вас не беспокоят и вы не замечаете неприятных симптомов, ваш врач может посоветовать вам оставить их в покое, говорит Йип. (1,2) 
В большинстве случаев камни миндалин можно лечить дома. Некоторые люди предпочитают выталкивать эти предметы самостоятельно с помощью ватной палочки или пальца. Если это создает проблему, потому что вызывает рвотный рефлекс, лучше использовать ирригатор, который обычно позволяет вымыть камни. (1,2)
И Тэтчер, и доктор Сетлур рекомендуют использовать ирригатор для удаления миндалин, поскольку он эффективен и безопасен и не вызывает рвотных позывов.Если вы решите использовать что-то еще для удаления камней, не используйте для этого ничего острого (например, зубочистки или булавки), говорит Сетлур. Использование таких инструментов может привести к повреждению миндалин или кровотечению.
Лекарственные препараты
 Ваш врач может прописать антибиотики или противовоспалительные препараты, такие как кортикостероиды, при воспалении конкрементов миндалин, но эти препараты будут использоваться только для устранения эпизода образования камней и не должны назначаться на длительный срок. использование, говорит Кезириан.«Эти лекарства могут помочь уменьшить отек и сделать склепы менее мелкими».
 использование, говорит Кезириан.«Эти лекарства могут помочь уменьшить отек и сделать склепы менее мелкими».
Варианты хирургического вмешательства
Другим вариантом удаления камней миндалин является хирургическое вмешательство. Тем не менее, врачи обычно не рекомендуют тонзиллэктомию для лечения камней миндалин, за исключением случаев, когда миндалины оказывают серьезное негативное влияние на жизнь пациента. (1,2,3) По словам Кезириана, частые камни в миндалинах также могут увеличить риск тонзиллита (инфекции миндалин), что может быть еще одной причиной для рассмотрения хирургического варианта лечения серьезных случаев.
Варианты хирургического лечения камней миндалин включают:
-   Тонзиллэктомия   Это операция по полному удалению миндалин, что означает, что камни не могут расти снова. Хотя тонзиллэктомия является наиболее эффективным способом предотвращения образования камней в миндалинах, существуют потенциально серьезные риски, о которых следует помнить при рассмотрении этого варианта. Во-первых, тонзиллэктомия требует общей анестезии и может сопровождаться сильной болью, которая может длиться неделями, говорит Тэтчер.И, как и при любой операции, существует риск кровотечения и инфицирования. (1,2) Во-первых, тонзиллэктомия требует общей анестезии и может сопровождаться сильной болью, которая может длиться неделями, говорит Тэтчер.И, как и при любой операции, существует риск кровотечения и инфицирования. (1,2)
- Лазерный криптолизис миндалин В этой процедуре хирурги используют лазер, чтобы избавиться от крипт миндалин, чтобы предотвратить образование миндалиновых камней. (4)
-   Коблационный криптолиз  В этой процедуре хирурги используют радиочастотную энергию и физиологический раствор для удаления крипт и щелей миндалин. Поскольку хирурги могут проводить эту процедуру при более низкой температуре, чем при лазерном криптолозе миндалин, существует меньший риск определенных осложнений.(5) 
 Оба метода криптолиза требуют только местной анестезии — в отличие от тонзиллэктомии, которая проводится под общей анестезией, — поэтому впоследствии они могут привести к меньшей боли и более быстрому выздоровлению. (4,5) 
 Однако в обзоре, опубликованном в августе 2017 г. в Кокрановской базе данных систематических обзоров, сделан вывод о том, что пока недостаточно доказательств того, что кобляционный криптолиз безопаснее или лучше переносится пациентами или приводит к улучшению послеоперационных результатов по сравнению с с другими процедурами, такими как тонзиллэктомия или лазерный криптолизис миндалин.(6)
 в Кокрановской базе данных систематических обзоров, сделан вывод о том, что пока недостаточно доказательств того, что кобляционный криптолиз безопаснее или лучше переносится пациентами или приводит к улучшению послеоперационных результатов по сравнению с с другими процедурами, такими как тонзиллэктомия или лазерный криптолизис миндалин.(6)
Узнайте больше о лечении камней в миндалинах: медикаментозное лечение, варианты хирургического вмешательства и многое другое
Как определить признаки острого фарингита
Может быть трудно определить, действительно ли сильная боль в горле является ангиной. Начнем с того, что заглянуть себе в горло, чтобы увидеть, что происходит, трудно. Это распространенное детское заболевание легко передается от человека к человеку. Реже встречается у взрослых, за исключением тех, кто работает с детьми или является родителями детей школьного возраста.
 Тем не менее, зима не за горами, а это значит, что мы будем проводить много времени в помещении или отправляться в закрытые помещения, такие как переполненные кинотеатры, чтобы согреться и развлечься. На рабочем месте, если хотя бы один человек в вашем офисе заражен, острый фарингит может легко распространиться. Может быть, пропустить этот переполненный лифт и перейти к следующему пустому? Хотя избегание людей может помочь на некоторое время уменьшить воздействие, это не всегда легко сделать, если вы почувствуете першение в горле. Вот как узнать, есть ли у вас ангина, и что делать, когда вы хотите найти облегчение.
 На рабочем месте, если хотя бы один человек в вашем офисе заражен, острый фарингит может легко распространиться. Может быть, пропустить этот переполненный лифт и перейти к следующему пустому? Хотя избегание людей может помочь на некоторое время уменьшить воздействие, это не всегда легко сделать, если вы почувствуете першение в горле. Вот как узнать, есть ли у вас ангина, и что делать, когда вы хотите найти облегчение.
Следите за этими знаками
Боль в горле может быть признаком простуды или острого фарингита.Оба сопровождаются затруднением глотания, болью и покраснением. Тем не менее, есть несколько вещей, которые отличают острый фарингит от других заболеваний.
 Во-первых, важно отметить, что боль в горле, связанная со стрептококком, возникает очень быстро. Эта боль не нарастает постепенно в течение нескольких дней. Скорее всего, вы можете просто проснуться с болью в горле и несколькими другими заметными симптомами. Это может привести к боли при глотании и опуханию миндалин.
Во-вторых, стрептококк известен преобладанием петехий во рту, горле и миндалинах.Эти маленькие красные пятна довольно уникальны для инфекции, что позволяет легко диагностировать стрептококк у большинства людей. Вы также можете заметить небольшие белые пятна или полоски гноя на задней стенке горла и миндалинах. Стрептококк некрасивый, но жизненно важно достать фонарик, чтобы заглянуть в заднюю часть горла. Если у вас кашель или насморк вместе с болью в горле, возможно, у вас простуда или грипп.
Как узнать наверняка
Конечно, есть ряд других заболеваний, которые имеют сходные симптомы с острым фарингитом.Лучший способ узнать, есть ли у вас бактериальная инфекция, — посетить ближайшее отделение неотложной помощи. Большинство пунктов неотложной помощи предлагают экспресс-тесты для проверки на присутствие бактерии Streptococcus.
 Этот простой тест, пожалуй, один из самых простых экзаменов, которые вы можете пройти в кабинете врача. Ваш врач возьмет ватным тампоном заднюю часть горла, чтобы захватить некоторые бактерии. Это может быть немного неудобно для тех, у кого сильный рвотный рефлекс, но произнесение «Ааа» или нажатие языком может помочь процессу.Затем ваш врач возьмет мазок и проверит его, чтобы увидеть, присутствует ли стрептококк в вашем организме. Если он положительный, вам обычно назначают антибиотики для борьбы с бактериями.
 Это может быть немного неудобно для тех, у кого сильный рвотный рефлекс, но произнесение «Ааа» или нажатие языком может помочь процессу.Затем ваш врач возьмет мазок и проверит его, чтобы увидеть, присутствует ли стрептококк в вашем организме. Если он положительный, вам обычно назначают антибиотики для борьбы с бактериями.
Домашние процедуры для облегчения боли
Если вы не можете сразу обратиться к врачу, попробуйте выпить теплый чай или суп, чтобы уменьшить воспаление в горле и уменьшить отек. Вы также можете полоскать горло теплой соленой водой, если вам все еще трудно глотать. Соленая вода поможет избавиться от некоторых бактерий и облегчить воспаление, которое может возникнуть.А леденцы от горла могут принести временное облегчение.
 Ибупрофен (Адвил) и ацетаминофен (Тайленол) также могут помочь снизить уровень воспаления. Известно, что стрептококк в горле вызывает лихорадку, поэтому необходимо следить за температурой до тех пор, пока вы не обратитесь к врачу. К счастью, клиники неотложной медицинской помощи MultiCare Indigo удобно расположены по всему Вашингтону: 16 отделений в районе Пьюджет-Саунд и пять клиник в Спокане и на Северо-Западе, что делает их доступными для многих людей.
 К счастью, клиники неотложной медицинской помощи MultiCare Indigo удобно расположены по всему Вашингтону: 16 отделений в районе Пьюджет-Саунд и пять клиник в Спокане и на Северо-Западе, что делает их доступными для многих людей.
Если у вас есть симптомы, похожие на стрептококк, не стесняйтесь обращаться в ближайшее отделение неотложной помощи Indigo для получения дополнительной информации. По оценкам, каждую неделю центры неотложной помощи посещают более трех миллионов пациентов. Положитесь на медицинских работников Indigo Urgent Care, и вы почувствуете себя лучше в кратчайшие сроки.
Записаться на прием или найти место
Беспокоитесь, что у вас болит горло из-за стрептококка? 5 основных признаков, на которые следует обратить внимание: Врачи Медицинская неотложная помощь: неотложная помощь
 Из-за боли в горле вы можете чувствовать себя разбитым, хриплым и неспособным нормально есть или говорить.К счастью, большинство болей в горле вызываются вирусами и проходят сами по себе.
С другой стороны, острый фарингит вызывается бактериями и требует лечения антибиотиками. Доктор Светлана Беркхед и доктор Инес Муньос Де Лаборде из Медицинской неотложной помощи врачей в Сан-Хосе, Калифорния, являются экспертами в диагностике ангины и стрептококковых инфекций.
Если вы видите любой из 5 следующих признаков, возможно, пришло время прийти в наш офис для быстрого теста в офисе.
1. Боль в горле без насморка, охриплости, кашля или конъюнктивита
Вирусные инфекции обычно являются причиной большинства болей в горле.Поскольку вирусы часто поражают несколько областей дыхательной системы, они также часто вызывают другие симптомы простуды и гриппа.
Если помимо насморка, охриплости, кашля или конъюнктивита у вас болит горло, скорее всего, это вирусная инфекция. Мы можем прописать вам некоторые лекарства, чтобы облегчить симптомы, но вирусные инфекции обычно проходят сами по себе после небольшого отдыха.
 С другой стороны, если у вас болит горло без каких-либо из вышеперечисленных симптомов, это может быть острый фарингит, вызванный бактериями группы A  стрептококков .
2. Увеличение лимфатических узлов шеи
Ваши лимфатические узлы фильтруют лимфатическую систему, которая участвует в иммунных реакциях на инфекцию. Это потому, что ваши лимфатические узлы часто опухают и становятся чувствительными в ответ на инфекцию.
Несмотря на то, что по всему телу расположено множество лимфатических узлов, лимфатические узлы обычно увеличиваются в ответ на местные инфекции поблизости. Опухшие лимфатические узлы на шее часто указывают на инфекцию горла, такую как острый фарингит.
3.Красные, опухшие миндалины, часто с белыми пятнами или полосами
Стрептококковые бактериичасто поражают миндалины, а также горло, вызывая образование полос или пятен гноя. Хотя вирусные инфекции иногда могут вызывать отек миндалин (тонзиллит), они вряд ли вызывают появление белых полос и пятен, характерных для острого фарингита.
4. Красные пятна на нёбе
 Крошечные красные бугорки на нёбе, называемые петехиями, являются распространенным симптомом острого фарингита. Эти бугорки вызваны протеканием мелких капилляров в нёбе и часто вызваны серьезными инфекциями.
 Эти бугорки вызваны протеканием мелких капилляров в нёбе и часто вызваны серьезными инфекциями.
5. Высокая температура или сыпь
Низкая температура (менее 101℉) иногда связана с вирусными ангинами, но высокая температура и сыпь почти всегда являются признаками стрептококковых инфекций. Если не лечить, эти высокие температуры могут привести к состоянию, называемому ревматической лихорадкой, которое может нанести долгосрочный ущерб вашему телу.
Точно так же, если вы заметили внезапную мелкую розовую сыпь или ярко-красное горло, это может быть причиной другого осложнения стрептококка, называемого скарлатиной.Хотя скарлатину обычно легко лечить антибиотиками, важно немедленно обратиться к нам, если вы заметите любой из этих признаков.
 Вирусную ангину легко спутать со стрептококком, но они требуют разного лечения. Если вы испытываете вышеуказанные симптомы, мы можем подтвердить ваш диагноз стрептококка с помощью простого мазка и отправить вас домой с антибиотиками для устранения инфекции.
Если вы считаете, что у вас может быть острый фарингит, позвоните в группу неотложной медицинской помощи врачей по телефону 888-265-2120 или запишитесь на прием через Интернет, чтобы как можно скорее провести диагностику и лечение горла.
Что вызывает эти белые пятна во рту и горле?
Стрептококковый фарингит
Белые пятна во рту чаще всего являются признаком инфекции, воспаления, травмы, опухоли или других заболеваний, вызванных патогенами, такими как бактерии, вирусы и грибки.
Некоторые возможные причины белых пятен во рту включают:
— молочницу полости рта
— тонзиллит
— оральный герпес
— острый фарингит
— рак ротовой полости
первичной медико-санитарной помощи, наиболее распространенной причиной появления белых пятен во рту является стоматит, также известный как кандидоз.
 «Если пятна распространяются на заднюю часть рта и миндалины, это называется кандидозом пищевода. Эти пятна выглядят как творог и их трудно соскоблить. Они могут покрывать язык и внутреннюю часть щек. У некоторых людей также появляются белые пятна на языке. Если во рту становится слишком сухо и на языке появляются белые пятна, это может быть язва или волосатая лейкоплакия».
 Эти пятна выглядят как творог и их трудно соскоблить. Они могут покрывать язык и внутреннюю часть щек. У некоторых людей также появляются белые пятна на языке. Если во рту становится слишком сухо и на языке появляются белые пятна, это может быть язва или волосатая лейкоплакия».
Прочтите: 5 признаков того, что боль в горле может быть более серьезной, чем вы думали с ВИЧ/СПИДом развивается инфекция Candida .Это также часто встречается у людей с ослабленной иммунной системой, а также у детей и пожилых людей.
Это может быть вызвано различными причинами, в том числе некоторыми лекарствами, такими как антибиотики, кортикостероиды и некоторые противозачаточные таблетки, беременностью, избыточным весом или наличием ранее существовавших заболеваний, таких как диабет и псориаз. К счастью, лечение, как правило, довольно простое, если вы в остальном здоровы, и курс противогрибковых препаратов эффективно вылечит его.
  Тонзиллит  является результатом вирусной или бактериальной инфекции миндалин, в результате чего они становятся красными и опухшими с белыми или желтыми пятнами. Если это вирусная инфекция, ее лечат постельным режимом, увлажнением и купированием лихорадки. Если это бактериальная инфекция, ее лечат антибиотиками.
 Если это вирусная инфекция, ее лечат постельным режимом, увлажнением и купированием лихорадки. Если это бактериальная инфекция, ее лечат антибиотиками.
Большинство инфекций миндалин вызывается бактерией Streptococcus , той же бактерией, которая вызывает острый фарингит.
Стрептококковая ангина симптомы аналогичны симптомам ангины, связанной с простудой, но могут также включать потерю аппетита, боль при глотании, воспаленные миндалины с белыми пятнами и лихорадку.Это вызвано инфекцией горла и миндалин, вызванной стрептококками группы А, и является довольно заразным.
Поскольку это очень похоже на тонзиллит, врач часто проводит тест на стрептококк, беря мазок из горла, чтобы проверить наличие бактерий стрептококка группы А. Антибиотики являются наиболее часто используемой формой лечения.
  Оральный герпес  — это инфекция, которая может быть вызвана вирусом простого герпеса типа 1 или типа 2. Проявляется в виде герпеса на губах, лихорадочных волдырей во рту и белых пятен на горле. Если у вас есть вирус, он часто повторяется до четырех раз в год. Он очень заразен и может передаваться при оральном сексе.
 Если у вас есть вирус, он часто повторяется до четырех раз в год. Он очень заразен и может передаваться при оральном сексе.
Лечение включает отпускаемые по рецепту лекарства и кремы для местного применения для облегчения симптомов, но само заболевание неизлечимо.
Прочтите: Ангины, связанные с новыми страшными бактериями
Белые точки и ВИЧ
Проблемы с полостью рта очень распространены среди людей с ВИЧ и затрагивают более трети ВИЧ+ людей из-за их ослабленной иммунной системы.Несмотря на успех комбинированной антиретровирусной терапии при многих проблемах полости рта, другие по-прежнему распространены при ВИЧ.
Доктор Ван Зил говорит, что люди с продвинутой стадией ВИЧ чаще всего подвержены кандидозному стоматиту , поскольку естественный защитный механизм организма подорван, что делает вас более уязвимыми для инфекций.
 Какой бы ни была причина появления белых пятен, доктор ван Зил настоятельно рекомендует обратиться к медицинскому работнику, который осмотрит ваш рот, чтобы поставить диагноз.
Подробнее:
Состояния, связанные с болью в горле
Естественный подход к тонзиллиту
Домашние средства от боли в горле
Источники: Центры США по контролю и профилактике заболеваний; Белые пятна на
Изображение: «Pos strep» Джеймса Хейлмана, доктора медицины — собственная работа.Лицензия CC BY-SA 3.0 через Commons — https://commons.wikimedia.org/wiki/File:Pos_strep.JPG#/media/File:Pos_strep.JPG
Тонзиллит (для подростков) — Nemours KidsHealth
Что такое тонзиллит?
Тонзиллит (произносится: tahn-suh-LYE-tus) — это инфекция миндалин, вызванная вирусами или некоторыми видами бактерий.
Миндалины представляют собой комки ткани по обеим сторонам задней стенки глотки, которые помогают иммунной системе защищать организм от инфекций.Но иногда миндалины не могут справиться с инфекциями, и эти борцы с инфекциями заражаются сами.
 Инфицированные миндалины опухают, краснеют и покрываются желтым или белым налетом. У человека с тонзиллитом может быть боль в горле, лихорадка, опухшие железы на шее и проблемы с глотанием.
 У человека с тонзиллитом может быть боль в горле, лихорадка, опухшие железы на шее и проблемы с глотанием.
Каковы признаки и симптомы тонзиллита?
Воспаленные миндалины выглядят красными и опухшими, могут быть покрыты желтым или беловатым налетом или пятнами.У человека с тонзиллитом может быть:
- боль в горле, которая может быть от легкой до тяжелой
- белые пятна или гной на миндалинах
- увеличение лимфатических узлов (желез) на шее
- голосовые изменения
- лихорадка
- болезненное глотание
- боль в животе
- головная боль
Если у вас есть симптомы тонзиллита, позвоните своему врачу.
Что вызывает тонзиллит?
Тонзиллит обычно вызывается
вирус, такой как: Бактерии также могут вызвать его, чаще всего стрептококк группы A   (ангина).В редких случаях тонзиллит может быть вызван чем-то другим, кроме инфекции.
Как диагностируется тонзиллит?
Ваш врач спросит о ваших симптомах и осмотрит ваше горло и шею. Ваш врач может использовать мягкий ватный тампон, чтобы аккуратно взять образец из миндалин и задней части горла для тестирования.
Вашему врачу важно знать, если
бактерии вызывают инфекцию. Если у вас ангина, вам потребуется лечение антибиотики для уничтожения бактерий.Это поможет вам чувствовать себя лучше и предотвратить другие проблемы, которые могут возникнуть из-за невылеченного ангины.Как лечится тонзиллит?
Если ваш врач прописывает антибиотики, внимательно следуйте указаниям. Прекратите принимать все лекарства, даже если ваши симптомы исчезнут и вы почувствуете себя лучше, или инфекция может вернуться.
 Если тест на стрептококк отрицательный, это, вероятно, вирус, вызывающий тонзиллит, и антибиотики не помогут. Так же, как и при простуде (также вызванной вирусом), вам придется несколько дней полегче, а вирус пусть идет своим чередом.
В редких случаях, если кто-то часто болеет тонзиллитом, врач или отоларинголог (произносится: oh-toe-lar-un-GA-luh-jist, врач, специализирующийся на проблемах с ушами, носом и горлом) может порекомендовать тонзиллэктомия (произносится: тан-сух-лек-тух-ми). Это операция по удалению миндалин. Раньше тонзиллэктомия была обычной процедурой, но теперь эксперты рекомендуют наблюдать и ждать, потому что большие миндалины часто уменьшаются со временем сами по себе.
Как я могу чувствовать себя лучше?
Больше отдыхайте и пейте много жидкости.Вы можете принять ацетаминофен или ибупрофен, чтобы облегчить боль или дискомфорт. (Однако не принимайте аспирин или другие продукты, содержащие аспирин, потому что они могут подвергнуть вас риску развития синдрома Рейе, болезни, которая может иметь серьезные осложнения.)
 Избегайте курения и всего, что может вызвать раздражение горла. Лучше всего пить много жидкости. Вы можете предпочесть более мягкую пищу, такую как яблочное пюре, ароматизированный желатин или мороженое. Если вам не хочется есть, попробуйте пить жидкости, содержащие калории, такие как фруктовые соки, молочные коктейли, супы и бульоны.
 Если вам не хочется есть, попробуйте пить жидкости, содержащие калории, такие как фруктовые соки, молочные коктейли, супы и бульоны.
Если вы принимаете антибиотики, обычно можно вернуться в школу через 24 часа после начала их приема, если температура спала и вы чувствуете себя лучше. Если вы все еще чувствуете слабость, усталость или боль, возможно, лучше остаться дома еще на день или два.
Как я могу предотвратить тонзиллит?
Тонзиллит заразен. Это означает, что вы можете получить его от кого-то еще, у кого он есть. Чихание и кашель могут передавать вирус или бактерии, вызывающие тонзиллит, от одного человека к другому.
Чтобы защитить себя от заражения тонзиллитом или предотвратить его передачу кому-либо еще:
- Тщательно и часто мойте руки.
-  Если у кого-то из ваших домочадцев или у друга есть тонзиллит, не используйте чашки, стаканы, столовое серебро, зубную щетку или другую посуду этого человека. А если у вас тонзиллит, держите свои вещи отдельно и ни с кем ими не делитесь. 
- Никого не целуй, пока полностью не избавишься от ангины.
- Приобретите новую зубную щетку после того, как почувствуете себя лучше и перестанете быть заразными.
Когда следует звонить врачу?
Немедленно обратитесь к врачу, если ваше состояние ухудшится; например, если вам трудно дышать или глотать. Также поговорите со своим врачом, если ваша лихорадка вернется или если вы не почувствуете себя лучше через пару дней.
Объяснение молочницы (кандидоза) – белые пятна в горле или во рту
 Если вы посмотрите в зеркало и обнаружите, что ваш рот расцвел белыми пятнами и пятнами, или если вы заметите маленькие белые пятна во рту вашего ребенка, помогая ему в ежедневном уходе за полостью рта, вы можете, по понятным причинам, быть обеспокоенными.Вы можете быть даже больше, чем просто обеспокоены, но не нужно паниковать. Это может быть простой тип инфекции, называемый молочницей полости рта. Оральная молочница хорошо поддается лечению у здоровых в остальном людей, но полезно знать основы того, что происходит у вас во рту (или во рту вашего ребенка), чтобы вылечить инфекцию и снизить вероятность ее рецидива.
Что это?
Оральная молочница — это инфекция, вызванная разрастанием Candida albicans, разновидности грибка.Его также называют оральным кандидозом. Этот грибок очень распространен, и у большинства людей некоторые из них присутствуют в полости рта без инфекции. Candida обычно контролируется иммунной системой и здоровыми бактериями во рту. Однако иногда баланс нарушается, и грибок бесконтрольно растет и начинает вызывать проблемы.
Как он зарастает?
 Здоровые подростки и взрослые редко заболевают оральной молочницей. Это гораздо чаще встречается у младенцев и пожилых людей — обе группы, как правило, имеют менее активную иммунную систему.Сухость во рту создает условия, в которых процветает кандидоз, поэтому важно лечить сухость во рту, чтобы избежать инфекции. Кроме того, ингаляторы кортикостероидов тесно связаны с молочницей у здоровых людей. Диабет, особенно когда уровень сахара в крови плохо контролируется, увеличивает вероятность чрезмерного роста дрожжей. Конечно, условия, которые угнетают иммунную систему, могут привести к развитию молочницы.
 Конечно, условия, которые угнетают иммунную систему, могут привести к развитию молочницы.
Каковы симптомы?
Молочница обычно проявляется в виде кремово-белых пятен и пятен на внутренней стороне щек и на языке.По мере распространения он может также развиваться на деснах и нёбе. Если его не остановить, он может вырасти на миндалины и спуститься в горло, вызывая серьезные проблемы. Пятна обычно представляют собой слегка приподнятые бугорки, которые могут кровоточить, если их потереть или поцарапать. Область вокруг пятен часто бывает красной и может чесаться или гореть. Вы также можете заметить боль при глотании или ощущение ваты во рту. Иногда вы можете даже заметить потерю вкуса. Если у вас впервые появляются эти симптомы, возможно, стоит проконсультироваться с врачом или стоматологом, чтобы убедиться, что нет основного заболевания, наносящего вред вашему общему здоровью.
Что я могу сделать, чтобы вылечить его дома?
 Если у вас простой случай молочницы, которая не проросла в горло и не мешает вам есть, может быть уместным только домашнее лечение. Может помочь полоскание теплой соленой водой несколько раз в день. Растворите ½ чайной ложки соли в теплой, не горячей воде и тщательно промывайте несколько раз в день. Не глотайте ополаскиватель. Можно использовать противомикробный ополаскиватель для зубов с ополаскиванием соленой водой или без него.
 Может помочь полоскание теплой соленой водой несколько раз в день. Растворите ½ чайной ложки соли в теплой, не горячей воде и тщательно промывайте несколько раз в день. Не глотайте ополаскиватель. Можно использовать противомикробный ополаскиватель для зубов с ополаскиванием соленой водой или без него.
Высокий уровень pH затрудняет рост и выживание грибка, поэтому полоскания с пищевой содой могут помочь.У младенцев с ранней молочницей (которые не могут полоскать рот и выплевывать, не глотая) раствор пищевой соды и воды можно нанести на пятна ватным тампоном, чтобы помочь устранить инфекцию. Не опускайте тампон в раствор несколько раз — 1 точка, 1 тампон. Здесь также может помочь ополаскиватель для зубов, повышающий pH полости рта.
 Соблюдайте правила гигиены полости рта как во время, так и после молочницы. Побалуйте себя новой зубной щеткой, чтобы ваша зубная щетка не скрывала кандидоз и не заносила его обратно в рот.Точно так же, если вы носите зубные протезы, обязательно полностью их продезинфицируйте, чтобы предотвратить распространение инфекции.
Что делать, если домашнего лечения недостаточно?
Если инфекция распространилась или не поддается быстрому лечению в домашних условиях, врач или стоматолог может назначить вам противогрибковые препараты. Иногда они назначают противогрибковое полоскание или крем для места заражения. Иногда, особенно если у вас есть другие медицинские осложнения, они могут прописать системные (для всего тела) лекарства, которые вы принимаете перорально.Обязательно используйте лекарства, назначенные врачом, точно в соответствии с указаниями, чтобы они могли работать должным образом.
Как я могу предотвратить это?
 Хорошая гигиена полости рта – лучшая и первая защита от инфекций полости рта. Обязательно лечите сухость во рту, если вы страдаете от нее, чтобы предотвратить множество стоматологических проблем, включая молочницу полости рта. Если вам необходимо использовать ингалятор кортикостероидов, полощите рот чистой водой после каждого использования.





 Во-первых, тонзиллэктомия требует общей анестезии и может сопровождаться сильной болью, которая может длиться неделями, говорит Тэтчер.И, как и при любой операции, существует риск кровотечения и инфицирования. (1,2)
 Во-первых, тонзиллэктомия требует общей анестезии и может сопровождаться сильной болью, которая может длиться неделями, говорит Тэтчер.И, как и при любой операции, существует риск кровотечения и инфицирования. (1,2)